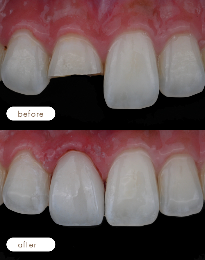
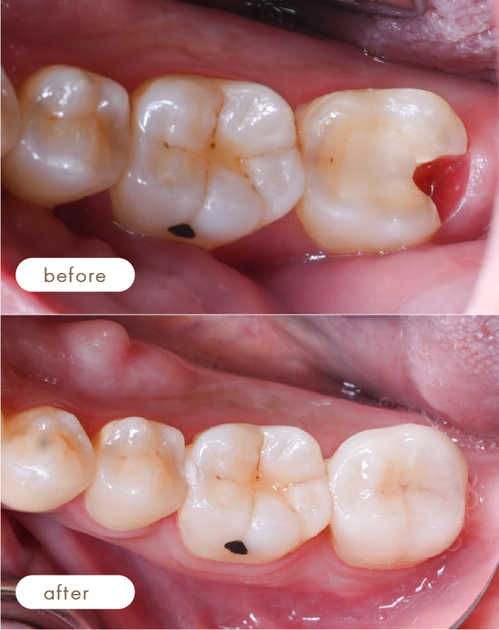
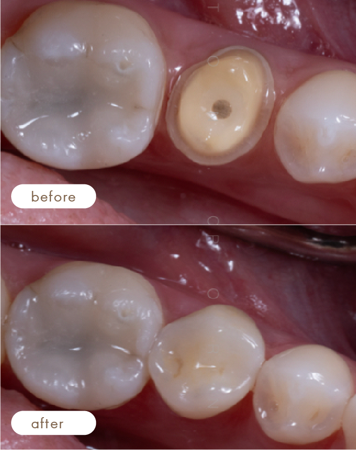
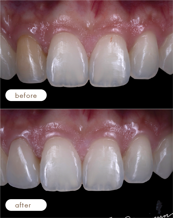
One Day Crown
Who is
One Day Crown for ?

Teeth with severe decay, cracks, or chips

Teeth with severe decay, cracks, or chips

Those who cannot attend multiple appointments

Teeth after root canal treatment

Patients seeking a premium, aesthetic, and fast solution
Benefits of One Day Crown
Same-Day Result
Permanent crown ready in just one visit
Natural Beauty
Customized design with lifelike shade and shape
Fewer Steps
No need for temporary crowns or messy impressions
Digital Precision
Advanced 3D scanning and CAD/CAM technology
Strong & Durable
High-quality materials built for long-term use
Time & Cost Saving
Fewer dental visits and long-lasting results
หมอต้น
ทพ. ชยพร ศุภชาติวงศ์
Dr. Chayaporn Supachartwong (Ton)
- DDS. (Mahidol University)
- Grad. Dip. in Clin. Sc. Prosthodontics (Chulalongkorn University)
- M.Sc. Esthetic restorative and implant dentistry (Chulalongkorn University)
- The international postgraduate training program in Advanced Implantology (University of California, Los Angeles)
- Diplomate, Thai Board of Prosthodontics
Your Smile, Our Expertise
All procedures are performed by experienced dentists across multiple specialties, with personalized care and attention.
“Create a quality smile without the wait
your new crown in just one day.”
Smile beautifully today Book your appointment now
“Digital Dentistry
for the Perfect Smile”
Real patient stories, real smiles.
ปกติเป็นคนกลัวหมอฟันมากมาตรวจ + ขูดหินฟันเจอคุณหมอลิลินดารู้สึกประทับใจมากๆ ค่ะ คุณหมอใจดี คอยอธิบายตลอด และที่สำคัญมือเบา ขอบคุณคุณหมอมากค่ะ ถึงจะยังรู้สึกกลัวอยู่แต่เป็นประสบการณ์ทำฟันที่ดีและกลัวน้อยลงกว่าทุกครั้งค่ะ
ทำฟันที่นี่มา ถอนฟัน ขูดหินปูนอุดฟัน จัดฟัน ตัดเหงือก ทำวีเนียร์ ครบเลย คุณหมอน่ารักและเก่งมากๆค่ะ...ล่าสุดเพิ่งตัดเหงือกและ ทำวีเนียร์มาสวยมากกกกกกกกกกกกกค่า
คุณหมอที่นี่ดูแลใส่ใจดีมากๆ
ครับขอบคุณครับบ
For more details or to book your appointment,
get in touch today.
